FlipFact of the Day: It’s one of medicine’s—and humanity’s—most nefarious nemeses: an affliction so dreadful and deadly, it has become synonymous with evil and destruction. Second only to cardiovascular disease, cancer is a worldwide killer, said to be responsible for one in every six deaths globally. To this day, many ask why we still haven’t managed to cure the disease, even after decades of research. The inherent problem in that question, though, is that it actually demands a single solution for more than one problem.
Cancer isn’t just one kind of disease, but a collection of different illnesses that could start in almost any cell in the body. There are over 100 different types, and all of them involve endless cellular division.
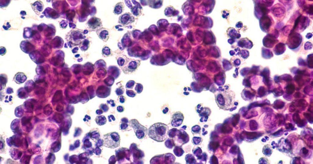
Healthy human cells grow and divide normally; the old or damaged ones eventually die to give way to new ones. Cancer disrupts this process, though; cells mutate and become abnormal, causing cells that should already die to keep dividing non-stop. Eventually, these perpetually dividing cells may form tumors, spreading to other tissues in the body (turning malignant) and affecting the normal functions of the organs. Given enough time and if left untreated, the patient will die.
Approximately 70 percent of cancer deaths each year take place in low- and middle-income countries. According to statistics from the World Health Organization, there were 141,021 new cases in the Philippines in 2018, and 86,337 deaths.
Fortunately, as notorious as this disease is for claiming lives, it is not an automatic death sentence. Additionally, nearly half of cases are said to be preventable. Sticking to a diet abundant in fruits and vegetables, living an active lifestyle, limiting alcohol consumption, and avoiding tobacco products can reduce a person’s risk of developing the disease.
Still remember your 5th-grade science classes? Test your knowledge and see if you still remember these facts and fundamental concepts in human anatomy, biology, botany, and other branches of science. Click here to try the “Are You Smarter Than A Pinoy Fifth-Grader” Challenge.
Follow the hashtag #FlipFacts on Facebook and Instagram to get your daily dose of science trivia!
Cover: European Pharmaceutical Review
References
- https://www.cancer.gov/about-cancer/understanding/what-is-cancer
- https://www.ncbi.nlm.nih.gov/pmc/articles/PMC4001327/
- https://www.who.int/en/news-room/fact-sheets/detail/cancer
- https://gco.iarc.fr/today/data/factsheets/populations/608-philippines-fact-sheets.pdf
- http://scienceline.ucsb.edu/getkey.php?key=989
Author: Mikael Angelo Francisco
Bitten by the science writing bug, Mikael has years of writing and editorial experience under his belt. As the editor-in-chief of FlipScience, Mikael has sworn to help make science more fun and interesting for geeky readers and casual audiences alike.






